chevron_leftTous les services

Gestation : Diagnostic et suivi

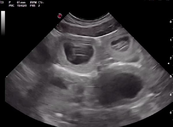
Le diagnostic de gestation est toujours un moment important. Si des tests de grossesse peuvent exister, l’examen de choix reste l’échographie.

En plus de confirmer la gestation, elle permet de contrôler l’aspect des ampoules, des placentas, des ovaires et de l’utérus. Elle permet aussi d’estimer avec une bonne précision le nombre de chiots si elle est faite au moment optimal (autour de J25 post-ovulation). Si la date d’ovulation n’est pas connue, l’échographie peut permettre de dater la gestation grâce à différentes mesures anatomiques et à l’évolution des structures anatomiques visibles à l’échographie. Elle permet également de mettre en évidence et de suivre d’éventuelles résorptions embryonnaires et nous amène alors à réaliser d’autres examens.

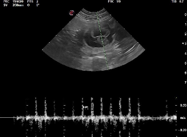
Dans certains cas de figure, notamment lors d'antécédents d'avortement, un suivi de la progestéronémie peut être recommandé au cours de la gestation et peut être associé à des contrôles échographiques.